Home
/ Anterior Cerebral Artery Stroke Symptoms : Posterior Circulation Stroke Core Em : Anterior cerebral artery syndrome refers to symptoms that follow a stroke occurring in the area normally supplied by one of the arteries.
Anterior Cerebral Artery Stroke Symptoms : Posterior Circulation Stroke Core Em : Anterior cerebral artery syndrome refers to symptoms that follow a stroke occurring in the area normally supplied by one of the arteries.
Anterior Cerebral Artery Stroke Symptoms : Posterior Circulation Stroke Core Em : Anterior cerebral artery syndrome refers to symptoms that follow a stroke occurring in the area normally supplied by one of the arteries.. Motor and sensory cortices supplied by the. It's the vessel least commonly affected by strokes, so a stroke involving the aca can easily be misdiagnosed. Findings in aca stroke may include the following: Depending upon the area and severity of the occlusion. •middle cerebral artery •anterior cerebral artery •recognize features of posterior circulation stroke involving:
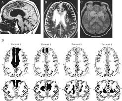
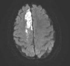
Bilateral anterior cerebral artery (aca) territory infarction is rare and its associated symptoms are still not well understood. Cerebral infarcts in the territory of the anterior cerebral artery (aca) are infrequent and yet few studies have specifically assessed the clinical characteristics of stroke patients with aca infarction .so far, single case reports and small series of aca stroke have been reported and, in most cases, patients with aca infarction are included in group of hemispheric cerebral infarction as a. Hemiparesis, sensory deficits, and ataxia can occur with either a right or left hemisphere lesion and typically affect the contralateral side. The anterior cerebral artery supplies blood to most of the anterior section of the interhemispheric cortical surface of the frontal and parietal lobes (physiopedia 2016). The mean age of the cohort was 71 years.
Suggested Algorithm For Imaging And Patient Management In Acute Download Scientific Diagram from www.researchgate.net It is true that when one typically thinks of the results of a stroke, one thinks of weakness on one side of the body. Clinical, mri, and angiographic findings of 100 consecutive patients with aca infarction were studied. Pain above and behind the eye Depending upon the area and severity of the occlusion. A larger aneurysm that is steadily growing may press on tissues and nerves causing: It's the vessel least commonly affected by strokes, so a stroke involving the aca can easily be misdiagnosed. Motor and sensory cortices supplied by the. Anterior cerebral artery (aca) occlusions primarily affect frontal lobe function.
The internet stroke center n.d.b) anterior cerebral artery stroke.
The mean age of the cohort was 71 years. A solid understanding of the pathophysiology of a posterior cerebral artery (pca) stroke as well as the syndrome relating to it, requires adequate knowledge of the structures and vascular anatomy of the brain. The test is positive if ≥ 1 is present. In 1943, adams1 was the first to completely describe the syndrome associated with the aica occlusion. The common clinical features were various primitive reflexes and parkinsonian symptoms including akinesia, rigidity and hypophonia. •posterior cerebral artery (occipital lobe, thalamus, medial temporal lobe) •brainstem (midbrain, pons, medulla) •cerebellum •recognize four common lacunar stroke syndromes •pure motor stroke •pure sensory stroke Ischemic stroke is the most common of the three types of stroke. We evaluated the clinical symptoms of four patients with bilateral aca infarction. It`s important to recognise the stroke symptoms and to immediately seek medical assistance. Fast (face, arm, speech, time) has a sensitivity of 82% and a specifity of 83%. It's also referred to as brain ischemia and cerebral ischemia. Clinical, mri, and angiographic findings of 100 consecutive patients with aca infarction were studied. Findings in aca stroke may include the following:
Fast (face, arm, speech, time) has a sensitivity of 82% and a specifity of 83%. Findings in aca stroke may include the following: In his patient, neurotologic symptoms such as. We evaluated the clinical symptoms of four patients with bilateral aca infarction. If the anterior inferior cerebellar artery becomes blocked, a stroke can occur.
Stroke Neupsy Key from neupsykey.com Fast (face, arm, speech, time) has a sensitivity of 82% and a specifity of 83%. Stroke mechanisms and clinical features of anterior cerebral artery (aca) territory infarction have rarely been investigated using mri. Clinical, mri, and angiographic findings of 100 consecutive patients with aca infarction were studied. We studied the topographical distribution of the lesions and the resulting clinical effects for a better understanding of their relationship and the functional outcome. The internet stroke center n.d.b) anterior cerebral artery stroke. It is characterized by weakness and sensory loss in the lower leg and foot opposite to the lesion and behavioral changes. The mean age of the cohort was 71 years. The anterior inferior cerebellar artery (aica) is responsible for carrying blood to the cerebellum.
Contralateral weakness and sensory loss in the.
Anterior cerebral artery syndrome refers to symptoms that follow a stroke occurring in the area normally supplied by one of the arteries. If the anterior inferior cerebellar artery becomes blocked, a stroke can occur. Stroke mechanisms and clinical features of anterior cerebral artery (aca) territory infarction have rarely been investigated using mri. •middle cerebral artery •anterior cerebral artery •recognize features of posterior circulation stroke involving: Posterior circulation stroke can cause unilateral or bilateral deficits and is more likely to affect consciousness, especially when the basilar artery is involved. It is characterized by weakness and sensory loss in the lower leg and foot opposite to the lesion and behavioral changes. The mean age of the cohort was 71 years. Anterior cerebral artery (aca) stroke: Face and body in the absence of. Ischemic stroke is the most common of the three types of stroke. The medial aspects of the frontal and parietal lobes, basal ganglia, anterior fornix and anterior corpus callosum. Contralateral weakness and sensory loss in the. When patients present with under 24 hours of neurological symptoms, such as weakness, dizziness, numbness, issues with speech, or visual changes, they are managed in the form of a stroke alert or a code stroke.
Erleben sie günstige preise und viele kostenlose extras wie proben & zeitschriften. Contralateral weakness and sensory loss in the. Anterior cerebral artery syndrome refers to symptoms that follow a stroke occurring in the area normally supplied by one of the arteries. Disinhibition and speech perseveration primitive reflexes (eg,. Bilateral anterior cerebral artery (aca) territory infarction is rare and its associated symptoms are still not well understood.
Different Types Of Strokes Ausmed from cdn.ausmed.com It`s important to recognise the stroke symptoms and to immediately seek medical assistance. Anterior cerebral artery infarction is uncommon. Posterior circulation stroke can cause unilateral or bilateral deficits and is more likely to affect consciousness, especially when the basilar artery is involved. Small unchanging aneurysms generally will not produce symptoms. The internet stroke center n.d.b) anterior cerebral artery stroke. Disinhibition and speech perseveration primitive reflexes (eg,. Symptoms of damage that occur as a result of a blockage to this artery include vertigo (a sensation of spinning),. The deficits left following this type of stroke may include:
Disinhibition and speech perseveration primitive reflexes (eg,.
Disinhibition and speech perseveration primitive reflexes (eg,. Anterior cerebral artery (aca) occlusions primarily affect frontal lobe function. When patients present with under 24 hours of neurological symptoms, such as weakness, dizziness, numbness, issues with speech, or visual changes, they are managed in the form of a stroke alert or a code stroke. Anterior cerebral artery syndrome is a condition whereby the blood supply from the anterior cerebral artery (aca) is restricted, leading to a reduction of the function of the portions of the brain supplied by that vessel: Cortical signs (e.g., neglect) pure, unilateral. There were 10 men … The mean age of the cohort was 71 years. Anterior cerebral artery (aca) stroke: Epidemiology aca territory infarcts are rare, comprising ~2% of ischemic strokes 1,2. The anterior inferior cerebellar artery (aica) is responsible for carrying blood to the cerebellum. Common impairments seen with middle cerebral artery (mca) stroke include neglect, hemiparesis, ataxia, perceptual deficits, cognitive deficits, speech deficits, and visual disorders. In 1943, adams1 was the first to completely describe the syndrome associated with the aica occlusion. Both circulations are connected by the posterior communicating arteries (pcom), which make up the.
It's also referred to as brain ischemia and cerebral ischemia anterior cerebral artery. •middle cerebral artery •anterior cerebral artery •recognize features of posterior circulation stroke involving: